Allied Health and Public Safety
Histotechnician

Merritt College's Histotechnician program prepares students for positions in hospital and clinical diagnostic labs, biotech labs, academic research labs, agricultural and plant pathology labs, and veterinary labs. Upon completion of this program, students are eligible to take the National Certification Exam.
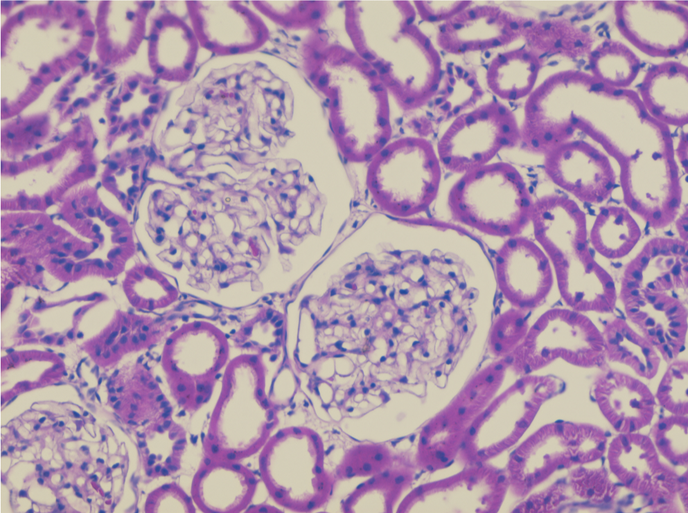
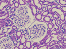
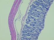
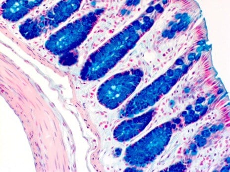
Histology also known as microscopic anatomy or microanatomy, is the branch of biology which studies the microscopic anatomy of biological tissues. Histology is the microscopic counterpart to gross anatomy, which looks at larger structures visible without a microscope.
Steps To Getting Started
- Apply for Admission to Merritt College
- Wait for an acceptance letter via email. Follow all instructions.
- Enroll in Bioscience 9 – General Histology (an entirely online course)
- Once accepted, meet with a general counselor for a student education plan.
Watch: Learn about the in-demand field of Histotechnician and the fulfillment of being a histotechnician and using your skills to help doctors diagnose diseases.
Scholarships and Grants
The Merritt College Histotechnician Program wants to ensure you have the financial support to complete the program. We back our students in their pursuit of scholarships and grants for their career and higher education goals. Below are a few scholarship and grant opportunities available to students.
- ASCP Laboratory Student Scholarship – Award amount $1,000
- National Society for Histotechnology – various awards
- American Association of University Women – Career Development Grants $2,000 to $12,000
- Peralta Colleges Foundation Scholarship Opportunities – various awards
Student Testimonials
Merritt Alumni A.R.:
“I am an Associate Histotech at Exact Sciences in Redwood City and I wouldn’t be in the position I am today that I love without Merritt Community College. I started out at Contra Costa Community right after high school. I knew I wanted to be in the healthcare field to help people and make a difference in the world, but I didn’t know exactly where I would end up. I took a year off of school after getting my Associates Degree in Science. I then went to California State University East Bay and received my Bachelors in Health Science. During that time I had to complete an internship. I was placed at Monument Crisis Center, a family resource center and was blessed to be hired. Monument Crisis Center is a food distribution center that includes a senior program, a youth program, and helps the homeless.
While working there, my mom told me about the Histotech program at Merritt. She works at Kaiser and a coworker told her about the program. After looking into the program, I decided I would give it a try. I didn’t have any lab experience and wasn’t too excited to be going back to school again. I thought my Bachelor’s degree would have gotten me a job that could support living in the Bay Area. However, the reality of the world today is this is just not true.
Merritt opened my eyes to the beauty of inside our bodies and the millions of tiny cells that make us, us. I enjoyed staining the different tissue types, seeing the results and learning all the functions of our organs that keep us going every day.
Merritt provided me with hands on experience, lab experience, resume and interview preparations that helped me get a job helping patients make some of the hardest decisions of their lives regarding cancer. I may be behind the scenes, but our work is very important. I am very diligent when it comes to our patients’ lives because my mom was once in their position and my hope is everyone beats cancer like she did.”
Merritt Alumni J.L.:
“I wanted to thank every single one of you who has made an impact in my life and career choice. It has been a great privilege to learn from you all and my time here at Merritt has been great with memories and the encouragement I received when job hunting lifted me up during my time of trials and tribulations.
I want to thank you all for being patient with me and always looking out for me. Feather, thank you for the job interview training and for honing me to be ready for job interviews. Yohannes, thank you for your kindness and patience in teaching me the ways of the Histotech. And lastly, thank you Derek for being able to encourage me and most of all allow me the ability to think outside the box and be encouraged to ask questions to find answers. All of you have made a great impact in my life and I couldn’t be happier. I do not believe this is the end of our journey with one another and I couldn’t be happier knowing that I have amazing mentors and professors who are personable and passionate. ”
Merritt Alumni S.T.M.:
“When I first arrived at Merritt College I didn’t know what to expect. I heard about the Histotechnician program from a junior college in West Covina called Mt. San Antonio College. The director told me I would have to wait a semester to start with the next cohort there or I could see if their sister program at Merritt College could start me immediately. I attended the orientation at Merritt where I met the instructors and a former student named Feather Ives who went into a thorough explanation of what histotechnician does, a forecast of the job market and the curriculum I would face during the program. I excelled in my courses because of the excellent teaching but also my work ethic. The program is very detailed and organized in a way where you learn in two phases, comprehension of the different types of microscopes (imaging) and application of the histo prep techniques. If I could give anyone some advice when starting this program, do not take it lightly, be engaged and ready to push yourself. This is college level work and the instructors are always there to help but you must be willing to actually do the work.
I started applying for jobs during my last semester of the program which was spring of 2020 and landed a histotech position at UCSF by March of that year. I wanted to say thank you to Merritt for giving me the tools, knowledge and confidence to make a better future for myself ”
Merritt Alumni:
“My time in the Histotechnician program at Merritt College was short although beneficial. I learned about a totally new field and had the opportunity to obtain some hands-on experience in which I honestly think contributed to me obtaining my current job. I’m thankful for the program giving me hands-on experience which was impossible to find elsewhere. The program taught me basic skill sets which helped me obtain a job which allowed me to gain further knowledge about the field and polish my histotechnology skills. As of today, I am an assistant histotech and currently studying to be a ASCP certified histotechnologist through route 2. As a student before, I knew how challenging it was to get into the histotechnology workforce. Therefore, I want to reach back and help students to achieve and further their career goals as well. I hope that as I continue my career and help students hopefully one day they can reach back to help other students as well. ”
Read about Kevin Hin’s and Alexandra Allen’s Biotech Careers Alumni profiles on InnovATE Bio:
Alex: https://biotech-careers.org/photo-journals/research-associate-0
Kevin: https://biotech-careers.org/photo-journals/research-associate
HistoScope
Welcome to HistoScope, an organization run by students for students.
At HistoScope we make histology slides and slide kits for the biotechnology/biology classroom. HistoScope offers Merritt histotechnology students an opportunity to experience real world histotechnician experience in a professional setting. HistoScope interns create high-quality H&E stained slides and perform quality control. Together, through sales and marketing, we work to promote and sell kits to the Bay Area Biosciences Education Community (BABEC).
Slide kits are provided to high school instructors who are part of our Scopes 2 Schools program.
HistoScope partners with BioSCOPE- Biotechnology Supply Chain Operation Projects for Education. BioSCOPE’s objective is “to strengthen career and technical (CTE) programs in the region by preparing students for high demand, high wage jobs in the biotechnology/life science sector through hands-on, real-life manufacturing experience.” BioSCOPE oversees of our manufacturing site and provides simulated audits.
1. …work-based skills to community college students in the biotechnology/life science pathway by manufacturing products used in high school and college biology/biotechnology programs.
2. …a skilled workforce for the biotechnology/life science industry. Students in this project are producing materials for instructional kits following cGMP processes and standard quality control.
3. …an environment for students to practice professional skills. Students will communicate with the customer and auditors by showing and articulating what they are learning and how they are following manufacturing processes. Students will work as a team, utilize interpersonal and business communication, critical thinking and work-place discipline skills through this project.
Lead Faculty:
Feather Ives, HistoScope founder & HT Program Director
Faculty Advisors:
Yohannes Kidane, MS, HTL (ASCP)
Dr. Gisele Giorgi, Merritt Biosciences Department Director
Shirley Pan, HT (ASCP), CT (ASCP), Histotechnician Education Coordinator
Dr. Ying-Tsu Loh, BABEC Operations Director and BioSCOPE advisor
Daniel Michael, Career Training Faculty
Contact Information

Biosciences Program Director
Dr. Gisele Giorgi
Building S-417
ggiorgi@peralta.edu
(510) 436-2618

Acting Program Director
Histotechnician Program
Feather Ives
fives@peralta.edu

Interim Dean of Allied Health and Public Safety
Diane Chang
dtchang@peralta.edu
Histotechnician Certificate
The American Society of Clinical Pathologists (ASCP)
- Join ASCP as a student!
- Learn about the HT & HTL certification exam
- Read the latest ASCP wage survey from 2017 for laboratory professionals including histotechnicians and histotechnologists.
- Read the latest ASCP vacancy survey from 2016-2017 for laboratory professionals including histotechnicians and histotechnologists.
ASCP 2021 Vacancy Survey of Medical Laboratories in the U.S
Click here for the full report
Taken from the report:
Histology
The total vacancy rate for histology is 8.6%. The staff vacancy rate is 8.8%, and the supervisory vacancy rate is 6.0%. Results show that in the next 5 years, this department anticipates a retirement rate of 12.0%. Staff members have a retirement rate of 11.2%, comparatively lower than the rate for supervisors, which is 21.3%.
When hiring employees in the histology department, most respondents reported HT and HTL as the preferred credential or certifications. Also, 39.3% of the respondents from this department indicated that certification is a prerequisite by their department for candidates to be hired. Survey results also show that 58.2% of staff and 93.6% of supervisors in the histology department are certified, reporting the highest certification rates for supervisors among all departments surveyed. Night (10:00 pm to 6:00 am) and double-shifts are very difficult to fill in the histology department. (Garcia, Kundu, Ali, Soles, 2018).
Garcia, E., Kundu, I, Ali, A., Soles, Ryan. (2018). American Journal of Clinical Pathology, Volume 149, Issue 5, 29 March 2018, Pages 387–400, https://doi.org/10.1093/ajcp/aqy005
ASCP 2021 Wage Survey
The American Society for Clinical Pathology’s 2021 Wage Survey of Medical Laboratories in the United States
Taken directly from the study (Garcia, Kundu, Fong, 2022):
Histotechnicians
The national mean (SD) hourly wage for staff-level HT is $28.92 ($7.1) FIGURE 2. Academic hospitals with more than 500 beds pay $29.61, and wages from other facilities were not reported due to small sample size (n < 30). According to survey results, the mean age of a staff HT is 43.2 years.
Lead-level HTs are paid a mean (SD) hourly rate of $31.79 ($6.1) FIGURE 2. The mean age of lead HTs is 46.6 years. Meanwhile, HT supervisors earn a mean (SD) hourly rate of $36.32 ($7.4) FIGURE 2. The mean annual wages of HTs by job level are listed in TABLE 6. Supervisors and managers are aged 51.7 years and 46.8 years on average, respectively.
Overall, all HT respondents are paid the highest in physician’s office laboratories at $34.27 per hour and the least in nonacademic hospitals with 100 to 299 beds at $27.34 FIGURE 7. The mean age for all HT respondents is 45.3 years FIGURE 3.
HT respondents from urban areas comprise 4.8% of all respondents and get paid a mean hourly wage of $30.85 TABLE 7. HTs from urban clusters, 4.0%, receive a mean hourly wage of $29.20 TABLE 7. According to the survey results, an HT has a mean of 19.2 years of total experience in the laboratory field and has been in their current position for 7.9 years FIGURES 4 and 5. Most respondents have also been working as HTs for a mean of 14.7 years FIGURE 6.
The sample sizes (n < 30) were too small for meaningful statistical analysis of mean age by all states, pay rates by all facilities, and states surveyed.
Histotechnologists
The mean (SD) hourly wage for staff HTLs is $29.70 ($7.2) FIGURE 2. Staff HTLs have a mean age of 38.8 years.
Lead-level HTLs are paid a mean (SD) hourly rate of $33.54 ($5.3) FIGURE 2. The mean age of a lead HT is 46.6 years. Supervisor HTLs are 48.1 years on average. The mean annual wages of HTLs by job level are listed in TABLE 6.
Analysis of overall hourly wage for facilities was not performed due to the small sample size (n < 30). The mean age for all HTL respondents is 42.5 years FIGURE 3.
HTLs account for 3.1% of respondents from urban areas with a mean hourly wage of $31.36. In urban clusters, there were 1.7% HTLs who get paid $30.80 an hour TABLE 7. Overall, an HTL has a mean of 17.1 years of total experience in the laboratory field and has been working in their current occupational title for a mean of 7.0 years FIGURES 4 and 5. Most have been working as HTLs for a mean of 13.4 years FIGURE 6.
The overall sample sizes (n < 30) for the occupational levels were too small for meaningful statistical analysis of pay rates by all facilities and states surveyed. For the same reason, analysis of the mean age and wage by state for HTLs was not performed.
Reference:
Edna Garcia, MPH, Iman Kundu, MPH, Karen Fong, The American Society for Clinical Pathology’s 2021 Wage Survey of Medical Laboratories in the United States, American Journal of Clinical Pathology, Volume 158, Issue 6, December 2022, Pages 702–722, https://doi.org/10.1093/ajcp/aqac116
ASCP Histotechnician Credential Info
The American Society of Clinical Pathologists (ASCP) Board of Certification (BOC) is the oldest and largest certification agency for laboratory professionals. Since its establishment in 1928, ASCP BOC have certified over 525,000 laboratory professionals. An ASCP BOC certification can result in improved job prospects, higher salaries and greater career satisfaction. Click below to learn about getting certified. Ask us how the Merritt College Histotechnology program can get you there!
https://www.ascp.org/content/board-of-certification/get-credentialed
NSH: National Society for Histotechnology
“The National Society for Histotechnology is a professional organization for individuals actively engaged in the histology field. Since its founding over 40 years ago, NSH’s member community has grown to include over 3,000 histology professionals from around the world. Though much has changed, our mission has stayed the same; to empower the profession of histotechnology through collaboration, education and innovation.”
NSH has a career resources and job search site.
CSH: California Society for Histotechnology
“California Society for Histotechnology is a non-profit organization, which has been promoting and encouraging growth in the field of histotechnology for over 41 years. We are dedicated to providing information and interactions which will serve to increase the knowledge and improve the skills of our members and other professionals in the field.”
https://www.californiahistology.org/
NAACLS Information
The Merritt College Histotechnician Program is a National Accrediting Agency for Clinical Laboratory Sciences (NAACLS) approved program.
Click here for:
NAACLS Board of Directors Official Accreditation Award Letter
NAACLS contact information:
5600 N. River Rd, Suite 720
Rosemont IL 60018-5119
773.714.8880




